Probetex提供了一种肾毒性Antira来源(抗GBM、抗Fx1A和抗Thy-1),用于诱导肾脏疾病的经典免疫模型。免疫介导新月体肾小球肾炎,被动膜性(海曼肾炎,系膜增生性肾炎(见下文描述)
Probetex产品简介——上海起发
Anti-GBM, Anti-Fx1A, Anti-Thy-1, 25 ml bottle
足够的抗血清在至少25只大鼠中诱发疾病。
学术界和制药行业使用的合格血清!在小鼠中的使用未经Probetex验证,但已被该物种的多名研究人员成功使用
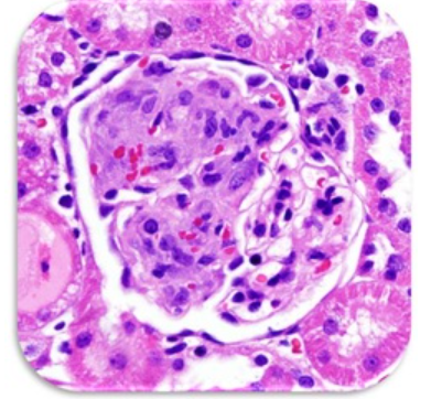
PTX-001AGBM

绵羊抗大鼠分离肾小球基底膜(抗GBM)血清
用于诱导免疫介导的肾小球肾炎。
系膜增殖
炎性细胞血管炎
肾小球硬化
肾纤维化
PTX-002S

绵羊抗鼠Fx1A血清
(海曼肾炎)
用于诱导膜性肾小球肾炎
上皮下免疫复合体疾病
足细胞病
蛋白尿
PTX-003S

绵羊抗大鼠胸腺细胞血清对系膜增生性肾小球肾炎的诱导作用
系膜迁移和增殖
矩阵展开
炎症细胞浸润
PTX-000S: Sheep Non-Immune Serum, 25 ml.
用于对照或其他免疫学要求的正常血清。批量可用。
Probetex现货产品列表:
|
货号 |
品名 |
规格 |
品牌 |
|
PTX-002S |
Sheep Anti Rat Fx1A Serum |
25ml |
Probetex |
|
PTX-000S |
Sheep Non-Immune Serum |
25ml |
Probetex |
|
PTX-001AGBM |
Sheep Anti-Rat Isolated Glomerular Basement Membrane (Anti-GBM) Serum |
25ml |
Probetex |
|
PTX-003S |
Sheep Anti-Rat Thy-1 Serum |
25ml |
Probetex |
|
BS-001GBM |
BioScout FITC-Sheep Anti-Rat Glomerular Basement Membrane (GBM) |
0.5ml |
Probetex |
本文地址: https://www.xsyiq.com/45750.html
网站内容如侵犯了您的权益,请联系我们删除。